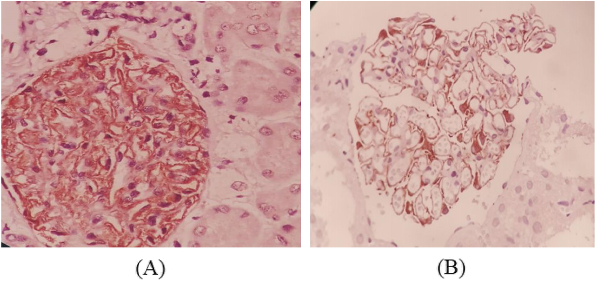
Fig. 2
From: A cohort study of membranous nephropathy, primary or secondary

Immunohistochemical staining (× 400). a PLA2R deposition and b Glomerular IgG4 deposits in a precisely granular pattern in sub-epithelial deposition of glomerular capillary wall